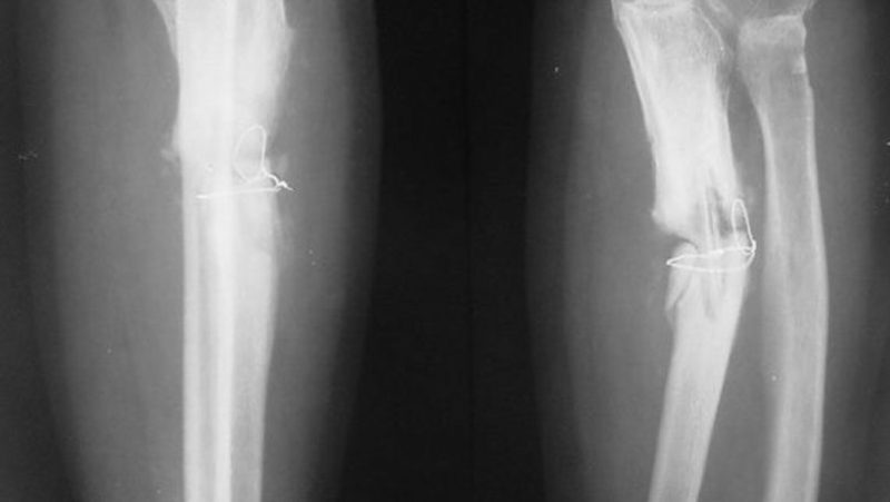
O echipă de cercetători din China a dezvoltat un adeziv medical revoluționar care poate fixa fragmentele osoase în doar 2–3 minute.
Inspirat din natură, noul lipici funcționează chiar și în condiții dificile, cum ar fi în contact cu sângele sau țesutul umed, acolo unde alte materiale de fixare eșuează.
Adezivul are o rezistență ridicată și este complet biodegradabil, fiind absorbit de organism odată cu vindecarea oaselor. Această inovație reduce nevoia de intervenții chirurgicale complicate, evitând implanturile metalice și scurtând timpul de recuperare al pacienților.
Testele clinice au arătat rezultate promițătoare, inclusiv în cazuri unde fracturile ar fi fost dificil de tratat prin metode clasice. Tehnologia are un potențial ridicat pentru utilizare în spitale, în situații de urgență sau în intervenții minim invazive.
Ne puteți urmări și pe pagina noastră de Facebook sau pe Telegram
